Beyin Tümörü Belirti ve Tedavileri

Beyin tümörü, kafatasının içinde veya beyin dokusunda kontrolsüzce çoğalan anormal hücre gruplarıdır. Beyin, kapalı bir kutu (kafatası) içinde yer aldığı için, burada büyüyen herhangi bir kitle kafa içi basıncını artırır. Sonuç olarak bu durum beyin dokusuna baskı yaparak hayati fonksiyonları etkileyebilir.
Tümörleri temel olarak ikiye ayırıyoruz: İyi huylu (Benign) ve kötü huylu (Malign) tümörler. Ayrıca tümörün kaynağına göre de bir sınıflandırma yapıyoruz. Eğer tümör beynin kendi hücrelerinden oluşuyorsa “Birincil (Primer)”, vücudun başka bir yerinden (akciğer, meme vb.) beyne sıçradıysa “İkincil (Metastatik)” tümör olarak adlandırıyoruz.
Beyin Tümörü Belirtileri Nelerdir?
Belirtiler, tümörün beynin hangi bölgesine yerleştiğine ve büyüklüğüne göre ciddi farklılıklar gösterir. Örneğin, konuşma merkezine yakın bir tümör konuşma bozukluğu yaparken, denge merkezindeki bir tümör yürüme zorluğuna neden olur. Genel olarak en sık karşılaştığımız belirtiler şunlardır:
- Şiddetli Baş Ağrısı: Özellikle sabahları daha şiddetli olan ve ağrı kesicilerle geçmeyen ağrılar.
- Nöbet (Sara Krizi): Daha önce epilepsi öyküsü olmayan bir yetişkinde aniden başlayan nöbetler.
- Bulantı ve Kusma: Özellikle sabahları fışkırır tarzda kusma.
- Duyu ve Kuvvet Kaybı: Vücudun tek tarafında (kol veya bacakta) uyuşma veya felç durumu.
- Görme ve Konuşma Bozuklukları: Çift görme, bulanık görme veya kelimeleri bulmakta zorlanma.
- Kişilik Değişiklikleri: Ani sinirlenme, unutkanlık veya ilgisizlik hali.
Tanı ve Tedavi Yöntemleri

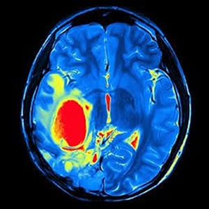
Hastamız kliniğimize başvurduğunda öncelikle detaylı bir nörolojik muayene yapıyoruz. Refleksleri, kas gücünü ve görme alanını inceliyoruz. Ardından kesin tanı koymak için İlaçlı Beyin MR (Manyetik Rezonans) veya BT (Bilgisayarlı Tomografi) tetkikleri istiyoruz. Bu görüntüler sayesinde tümörün yerini, boyutunu ve cinsini büyük oranda tespit ediyoruz.
Cerrahi Tedavi (Mikrocerrahi)
Beyin tümörlerinde en etkili ve temel tedavi yöntemi cerrahidir. Ameliyatlarda mikrocerrahi yöntemler ve yüksek teknolojili nöronavigasyon cihazları kullanıyoruz. Bu teknolojiyi bir nevi “navigasyon cihazı” gibi düşünebilirsiniz; bize tümörün tam yerini milimetrik olarak gösteriyor.
Böylece tümörü çıkarırken, hastamızın hareket etmesini veya konuşmasını sağlayan sağlıklı beyin dokusuna zarar vermeden işlemi tamamlıyoruz. Çıkardığımız tümörü patoloji laboratuvarına gönderiyor ve gelen sonuca göre ek tedavi (ışın veya ilaç tedavisi) gerekip gerekmediğine karar veriyoruz.
Sıkça Sorulan Sorular
Beyin ameliyatı ne kadar sürer?
Süre tümörün boyutuna, yerine ve yapışıklığına göre değişir. Standart bir tümör ameliyatını genellikle 3 ila 6 saat arasında tamamlıyoruz. Ancak bazı karmaşık vakalar daha uzun sürebilir.
Ameliyat sonrası felç kalır mıyım?
Hastalarımızın en büyük korkusu budur. Neyse ki gelişen teknoloji ve “Nöromonitörizasyon” (sinir ölçüm) cihazları sayesinde bu risk oldukça düşüktür. Ameliyat boyunca sinirleri anlık olarak takip ediyor ve hasar oluşmasını engelliyoruz.
Cep telefonu beyin tümörü yapar mı?
Bu konuda yapılan bilimsel çalışmalarda henüz kesin bir kanıt bulunamamıştır. Yine de tedbir amaçlı olarak uzun süreli konuşmalarda kulaklık kullanılmasını öneriyoruz.
İyi huylu tümörler tekrar eder mi?
Tamamen çıkardığımız iyi huylu tümörlerin (Meningiom gibi) tekrarlama riski çok düşüktür. Buna karşılık kötü huylu tümörlerde nüks ihtimali daha yüksektir; bu yüzden bu hastalarımızı düzenli aralıklarla takip ediyoruz.
Ameliyatsız tedavi mümkün mü?
Çok küçük, derin yerleşimli veya cerrahiye uygun olmayan bazı tümörlerde “Gamma Knife” (Radyocerrahi) gibi odaklanmış ışın tedavileri kullanılabiliyor. Hangi tedavinin uygun olduğuna konsey kararıyla karar veriyoruz.
Beyin Tümörü Cerrahisi ve Randevu
Beyin tümörü tanısı almak hasta ve yakınları için zorlu bir süreçtir. Ancak unutmayın ki doğru ellerde ve modern yöntemlerle başarılı sonuçlar alıyoruz. Baş ağrısı, nöbet veya güç kaybı gibi şikayetleriniz varsa zaman kaybetmeyin.
Doç. Dr. M. Arif Özbek ve ekibi, ameliyat öncesi ve sonrası süreci titizlikle yönetmektedir. Hormonal kaynaklı tümörler için hipofiz tümörleri yazımızı, omurga sorunları için omurga tümörleri sayfamızı inceleyebilirsiniz.
MR sonuçlarınızı değerlendirmek ve muayene olmak için randevu al butonunu kullanabilirsiniz. Kliniğimizin konumu için Google Haritalar bağlantısını ziyaret edebilirsiniz.